Mondgezondheid onder ouderen
De Monitor mondgezondheid (2024) geeft informatie over de toegankelijkheid van mondzorg. Zo laat het de percentages van de bevolking zien die afzien van tandheelkundige zorg vanwege de kosten: het Nederlandse gemiddelde is 3%, maar onder de lage inkomens stijgt dit naar 12%. De monitor toont dat het percentage ouderen dat niet genoeg tanden en kiezen heeft om te kunnen kauwen 4,3% is. Het aantal personen dat geen echte tanden en kiezen heeft bedraagt 7,5%. Er zijn, net als bij algemene gezondheid en levensverwachting, echter grote verschillen tussen mensen met een lagere en hogere SES in de gezondheid van hun tanden en mond. Zo is het percentage mensen dat geen echte tanden en kiezen heeft in de laagste SES categorie 16,6%. Voor mensen in de hoogste SES categorie is dat slechts 0,9%. Er valt dus nog veel te winnen, en duidelijk is dat dit soort problematiek ouderen die gedurende hun levensloop een lage SES kenden bovenmatig treft. Dit is van belang omdat mondongezondheid belangrijke nadelige consequenties heeft voor de vitaliteit en participatie van ouderen.
Samenhang mondgezondheid, participatie en gezondheid
Mondgezondheid speelt, naarmate men ouder wordt, een steeds grotere rol bij het behouden van vitaliteit en bij het blijven deelnemen aan het sociale leven. Een slecht onderhouden gebit kan er de oorzaak van zijn dat men in een sociaal isolement terecht komt (van den Broeke e.a., 2019; Drissen e.a., 2023; de Goede, 2020; Lambotte, de Donder & Dierckx, 2018, Pharos, 2018). Bovendien is er een relatie tussen mondgezondheid en algemene gezondheid. Tandartsen en andere zorgverleners zijn op de hoogte van de relatie tussen hartaandoeningen en gebit. Tandvleesaandoeningen kunnen bijvoorbeeld de kans op hart- en vaataandoeningen vergroten. De relatie tussen diabetes en ontstekingen is er ook bij tandvleesaandoeningen en bovendien in twee richtingen. Hoe groter het ontstekingsoppervlakte in de mond, des te groter de kans op andere aandoeningen en vice versa.

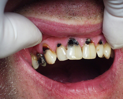
Foto 1. Cariës

Foto 2. Parodontale problematiek
Andere veelvoorkomende aandoeningen onder ouderen kennen ook een relatie met mondongezondheid en kunnen het welbevinden van ouderen negatief beïnvloeden. Pneumonie en COPD hebben een verband met de mond. Een verstoorde mondflora is in tien procent van de gevallen de oorzaak van een toename van ziektesymptomen van COPD. Ook met betrekking tot Alzheimer is veel onderzoek gedaan. Onderzoekers hebben de met parodontitis geassocieerde bacterie Porphyromonas gingivalis en de door de bacterie geproduceerde proteasen (zgn. Gingipains) aangetroffen in de hersenen van Alzheimerpatiënten, die het proces van letsels lijkt te versnellen. De aanwezigheid van de bacterie in de hersenen kan verklaard worden door een veranderde Blood-Brain Barrier (Claassen e.a., 2021). Voor mensen die leiden aan een hersenaandoening is het moeilijker de mond te verzorgen, zodat meer en heftigere ontstekingen in de mond worden waargenomen als gevolg van afgenomen mondverzorging. Veel van deze genoemde aandoeningen zijn gerelateerd aan vaatproblemen. Alle aandoeningen hebben baat bij het verbeteren van de mondgezondheid.
Bijkomend probleem is dat een ongezonde, pijnlijke en bloedende mond veel moeilijker te verzorgen is dan een gezonde mond, wat bijvoorbeeld kan leiden tot het minder openstaan voor en plezier beleven aan activiteiten. Ook als ouderen niet langer in staat zijn hun eigen gebit te verzorgen, kan dit belangrijke negatieve effecten hebben. In het door het Jeroen Bosch ziekenhuis multidisciplinair ontwikkelde Doorleefplan Dementie wordt uitgebreid aandacht gevraagd voor bovenstaande.1 Als zorgverleners kunnen wij onze oudere patiënten tijdig wijzen op het belang van een leeftijdsbestendige dentitie. Dat wil zeggen: een gebit dat vrij van ontstekingen is, makkelijk te verzorgen is en ook voor verzorgenden of mantelzorgers goed is te onderhouden. Het is begrijpelijk dat er afweer is tegen mondverzorging als er sprake is van een pijnlijke mond. In het kader van een afstudeerproject van een verpleegkundige werd in 2016 in een verpleeghuis in Rosmalen onderzoek gedaan naar factoren die de mondverzorging moeilijker maken. Dit onderzoek onder 150 verzorgenden leerde dat de weigerachtige cliënt het grootste probleem is tijdens de verzorging. Pijn, ontsteking en onbegrip kunnen de oorzaak zijn van weigering. Op basis van dit onderzoek wordt er tijdens scholing extra aandacht besteed aan het belang van een goed te verzorgen dentitie.
Smakelijk eten
Van ouderen die in een verpleeghuis wonen, is bekend dat de ervaring van voedsel van invloed is op hun welbevinden (Kartsermans, Knuvers & Slaets, 2008). Het kunnen genieten van voedsel kan een belangrijke bron van positief welbevinden zijn. Ruim 70% van de verder gezonde ouderen heeft minder eetlust. Dit is voor een deel te verklaren door een veranderde smaak en reuk (Dijksterhuis, 2020). Bijzondere aandacht zou daarom uit moeten gaan naar de mond als onderdeel van het spijsverteringskanaal. De spijsvertering start in de mond en een gezonde mondflora is hierbij dus van belang. Al in de mond wordt een aanvang gemaakt met het omzetten van uit voeding afkomstige nitraten tot nitriet. Vervolgens wordt nitriet in de maag omgezet tot stikstofoxide, een belangrijke bouwsteen van vaten. Dit proces kan verstoord worden als de mondflora niet gezond is. De omzetting van nitraat in nitriet vindt dan in onvoldoende mate plaats.
Het kunnen genieten van voedsel, en een gevarieerd, passend dieet, kan ook een positieve uitwerking hebben op het functioneren van de darmen. Darmen spelen ook een belangrijke rol bij ziekten. Er zijn voldoende aanwijzingen dat de ziekte van Parkinson in de darmen begint. Darmflora kan amyloid produceren dat, bij neerslaan in de hersenen, Alzheimer kan bespoedigen. Meerdere studies laten zien dat het volgen van een mediterraan dieet lijkt te werken tegen dementie(Shannon e.a., 2023). Goede mondgezondheid kan dus ook bijdrage aan vitaliteit en uitstel van ziekte.
Ook op andere wijze kan voedsel van invloed zijn op goed ouder worden. De voorkeur voor zoet heeft een oorsprong bij onze verre voorvaderen. Zoet voedsel is calorierijk en geeft extra energie, nodig om te kunnen overleven. In de verpleeghuizen leidt deze voorkeur voor zoet echter regelmatig tot overgewicht, versterkt door minder beweging. Echter, dit neemt niet weg dat iemand met obesitas wel ondervoed kan zijn.2 Uit ons project rondom multidisciplinaire samenwerking in Den Bosch bleek aandacht voor zowel zoet als zout in voeding noodzakelijk. Te veel zout heeft vanwege het effect op de bloeddruk gevolgen voor de algemene gezondheid. Bijkomend probleem is de verdikte tongcoating waardoor ouderen het zout minder proeven. Daarnaast is er een psychofysisch effect: tweemaal zoveel zout, of twee in plaats van één suikerklontjes, wordt niet als tweemaal zoveel zout of zoet ervaren maar als slechts 1,25 maal zoveel (Dijksterhuis, 2020). De daadwerkelijke negatieve effecten van te veel zoet of zout zijn daarmee aanmerkelijk groter dan het gevoel.
Bij ouderen worden de smaakveranderingen eveneens veroorzaakt door het feit dat ouderen minder speeksel produceren en dit speeksel van een andere samenstelling is. Dit wordtversterkt door het gebruik van bepaalde medicatie en door interactie van medicatie. Ook heeft deze verminderde speekselproductie en -kwaliteit effect op het vóórkomen van cariës. Met name wortelcariës treedt veel op als gevolg van de verminderde beschermende werking van het speeksel. Het minder kunnen proeven en ervaren van voedsel kan er voor zorgen dat ouderen minder deel nemen aan gezamenlijke eetmomenten en hier ook (veel) minder van genieten.
Het is duidelijk dat gezonde voeding essentieel is, maar dan moet er wel smakelijk gegeten kúnnen worden. Hiervoor is voldoende kauwfunctie essentieel. Daar komt bij dat een verwaarloosd gebit tot schaamte leidt. Vaak betekent dit dat men zich terugtrekt en niet deelneemt aan gezamenlijke maaltijden, soms zelfs met het weigeren van het eten als gevolg.
De mond is vaak het laatste orgaan dat nog functioneert, ook bij sterke lichamelijke achteruitgang. Concluderend kan worden gesteld dat het van belang is de functie intact te houden en daarmee verergering van problemen te voorkomen. Onderzoek laat zien dat het bij ouderen vooral belangrijk is tijdig te zorgen voor een gezonde mond, omdat er een moment zal aanbreken dat dit niet meer kan. In tegenstelling tot obesitas waar geen eenvoudige en snelle oplossing voor bestaat, is het bij de mond wel mogelijk om er via eenvoudige ingrepen voor te zorgen dat problemen voorkomen worden. Zodat ouderen zich niet gehinderd voelen in hun beleving van voedsel en gezamenlijk eten.
Toegang tot mondzorg
Het verhogen van de toegankelijkheid van mondzorg wordt bereikt door allereerst in kaart te brengen welke factoren een rol spelen bij het verlies van toegang (Lambotte, de Donder & Dierckx, 2018) tot de zorg (de Goede, 2020). Tijdens het ZonMw project ‘multidisciplinaire diagnostiek bij kwetsbare ouderen in de thuissituatie’ kwamen vier factoren naar voren die ook van toepassing kunnen zijn op de toegankelijkheid van mondzorg:
- Lichamelijke factoren, waaronder ziektes zoals NAH, Parkinson.
- Geestelijke factoren, waaronder cognitieve aandoeningen zoals Alzheimer.
- Sociale factoren, zoals gevoelens van eenzaamheid.
- De complexiteit van de zorg voor ouderen als gevolg van co-morbiditeit waar de individuele zorgverlener vaak geen antwoord op heeft.
Deze factoren zijn elk voor zo’n vijfentwintig procent aanwezig. Allereerst, ingaande op lichamelijke en geestelijke factoren, zien we ook hier een negatieve werking van een lagere SES. Binnen de groep met een lage SES wordt meer gerookt, minder bewogen en er is vaker sprake van overgewicht als ook een verhoogde kans op cognitieve problemen. Mede hierdoor loopt deze groep een verhoogd risico op mondproblematiek. Maar mondzorg is voor hen juist verminderd toegankelijk door onbekendheid en kosten. Een laagdrempelige toegang is daarom essentieel. Binnen de mondzorg voor ouderen kan dit onder andere bereikt worden door het houden van het landelijk telefonisch spreekuur.3 Een andere goede mogelijkheid om de toegang tot de zorg te verbeteren is de aanwezigheid van gespecialiseerde zorgverleners op de zogeheten vitaliteitsdagen.4 Deze dagen worden bijvoorbeeld in Brabant en Zeeland georganiseerd door senioren Brabant-Zeeland. Tijdens deze dagen krijgen de deelnemers inzicht in fysieke en mentale aspecten en in gezondheidsvaardigheden op meerdere gebieden.
De vitaliteitsdagen worden over het algemeen bezocht door relatief vitale ouderen. Zij zijn ook vaak mantelzorger voor naasten die zelf niet aanwezig willen of kunnen zijn en kunnen daarmee een belangrijke ingang vormen tot meer kwetsbare ouderen. Zo’n 13% van de Nederlandse bevolking is mantelzorger en onder de deelnemers aan de vitaliteitsdagen ligt dit percentage veel hoger. Inmiddels is met vele duizenden bezoekers gesproken en onder hen ligt het aantal mantelzorgers rond de 30%. Tijdens deze dagen wordt er juist aandacht geschonken aan degenen die er niet (kunnen) zijn. De betrokken mantelzorgers krijgen schriftelijk zeer gerichte adviezen mee voor degenen waarvoor zij zorgen. Vaak vindt nog telefonische nazorg en verdere ondersteuning plaats.
Bij ouderen is het een feit dat de kring om hen heen kleiner wordt en de sociale steun daarmee afneemt. Dit kan ervoor zorgen dat mondzorg simpelweg niet meer bereikt kan worden en minder prioriteit krijgt. Slechte mondgezondheid kan daarbij ook een drempel vormen voor ouderen om deel te nemen aan sociale activiteiten, en zo het netwerk te vergroten.
Op systeemniveau kan een meer integrale benadering ook van betekenis zijn om de toegankelijkheid van tijdige mondzorg te vergroten en latere problemen en negatief welbevinden te voorkomen. Het aantal ouderen met een complexe zorgvraag groeit, en ondanks het Integraal Zorgakkoord (IZA) is de samenwerking onvoldoende. Dit komt ook omdat bij de start van het IZA geen tarief voor samenwerking bestond (NZA, 2020).
Inmiddels is bereikt dat samenwerking, multidisciplinaire diagnostiek en tijdelijke ondersteuning vergoed kan worden vanuit de Basisverzekering (ZA, 2020). Meer aandacht voor mondzorg als onderdeel van een integrale benadering van gezondheid, ook preventief, zou hierin te adviseren zijn.
Financiële drempels
Naast bovenstaande factoren kunnen ook financiën een belangrijke drempel vormen voor de toegang en het gebruik van mondzorg. Een groeiend aantal oudere Nederlanders kan tandarts- en mondzorg niet betalen, of geeft hier pas bij grote problemen prioriteit aan. Een mogelijkheid zou kunnen zijn om meer bekendheid te geven aan de gemeentepolis. De gemeentepolis is een zorgverzekering voor mensen met een lager inkomen (Gezond Verzekerd). Ongeveer 800.000 Nederlanders zijn in het bezit van een gemeentepolis. Het is een totaalpakket met daarin Basisverzekering, aanvullende verzekering en tandartsverzekering. Het voordeel voor de deelnemer is dat de gemeente een deel van de kosten voor het aanvullend pakket dekt. Er worden vaak geen aanvullende eisen voor deelname gesteld en de mogelijkheid bestaat om de kosten van het eigen risico te verlagen dan wel te spreiden. Organisaties als BSenF en Gelijkgezond.nl helpen gemeenten bij het vereenvoudigen en laagdrempeliger maken van de uitvoeringsprocessen. Ook meer preventieve aandacht voor tandarts- en mondzorg, bijvoorbeeld door educatie van ouderen zelf en professionals, zou kunnen helpen om escalatie van problemen te voorkomen.
Ontkoppelen diagnose en behandeling
Ook een systeemwijziging is wellicht gewenst. Binnen de gezondheidszorg en binnen de maatschappelijke ondersteuning worden beslissingen en oplossingen te vaak gestuurd door de kosten. Hetzelfde geldt binnen de Wmo voor indicatie en uitvoering. Het verdient aanbeveling diagnose en behandeling los te koppelen. Er kan dan gekozen worden voor de meest wenselijke oplossing tegen zo laag mogelijke kosten.
Mensen in een kwetsbare positie hebben, zoals hierboven beschreven, lichamelijke, sociale en maatschappelijke problemen. Dit zorgt voor fysieke en psychische klachten (Drissen e.a. 2023; Pharos, 2018). Het huidige systeem waarin vanuit kosten wordt geredeneerd, is voor minder zelfredzame mensen met complexe problemen niet toereikend en passend. Complexe multidisciplinaire problematiek vereist een gerichte ondersteuning en (voor)financiering. Voorwaarde is wel dat deze financiering wordt toegepast bij een aanpak die in proeven, pilots en projecten werkzaam zijn gebleken en waarvan het maatschappelijk rendement aantoonbaar bekend is tegen acceptabele kosten (NZA, 2020). Een succesvol project is de pilot mondzorg in Den Bosch, waarin de tandartskosten vergoed worden vanuit de bijzondere bijstand. Hierbij wordt vooraf, door een onafhankelijke deskundige, bepaald of het een medisch noodzakelijke behandeling betreft én of de gekozen behandeling de goedkoopste passende oplossing is.
Dergelijke pilots kunnen bijdragen aan een verbetering van de (preventieve) mondzorg en daarmee bijdragen aan de mogelijkheden voor en tot inclusie van ouderen. Mondzorg verdient tijdig en continue aandacht voor ouderen, en voor ouderen met een lage SES in het bijzonder. Vaak onderschat en vergeten heeft een gezonde mond juist een belangrijke invloed op welbevinden, participatie en de gezondheid van ouderen.
Noten
- Het Doorleefplan Dementie is mede ontwikkeld binnen het project Multidisciplinaire samenwerking in Den Bosch en te vinden op: http://www.jeroenboschziekenhuis.nl/doorleefplan-dementie
- Als onderdeel van het project rondom multidisciplinaire samenwerking in Den Bosch is ook een e-learning gemaakt over ondervoeding en ouderen deze is te vinden op: https://elearning.tandarts.education/course/view.php?id=41
- Landelijk telefonisch spreekuur “ouderen en mondgezondheid”, elke woensdag 13.30-14.30 uur tel. 073 -3036444
- https://www.seniorenbrabantzeeland.nl/nieuws/gezond-voedingspatroon-voeding-vitaliteitsdagen/